Protesi

La protesi è quella branca dell’odontoiatria che si occupa di sostituire uno o più denti mancanti, ridando al paziente una dentatura estetica, dalla forma e funzione corrette. Le protesi dentali possono ancorarsi a impianti dentali o a denti naturali e si possono dividere in protesi dentali fisse e protesi dentali mobili (o rimovibili).

La Protesi dentale fissa.

È la protesi che viene richiesta maggiormente dal paziente perché più estetica della protesi mobile e più confortevole in quanto per il paziente è come avere un dente naturale. Essendo un manufatto più complesso rispetto a una semplice otturazione, può richiedere più sedute. Il tipo di manufatto protesico che viene proposto al paziente è in funzione del tipo di dente e della quantità di tessuto dentale sano che rimane dopo la rimozione di tutta la carie, delle esigenze esetiche e funzionali.

A seconda delle necessità ricostruttive possiamo avere molteplici opzioni

L’intarsio: è il manufatto protesico meno invasivo di tutti ovvero quello utilizzato quando un’otturazione semplice sarebbe troppo grande per garantire una resistenza adeguata nel tempo.

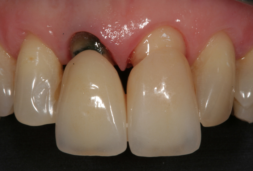
La corona dentaria: consiste in un guscio che ricopre totalmente il dente ed è la protesi singola per eccellenza dato il suo utilizzo da molti anni; molti studi scientifici riportano successi a 20 anni del 90%. Viene eseguita quando la struttura residua del dente è minima. 

Faccette in ceramica: sono manufatti protesi che hanno come principale scopo quello di ripristinare l'estetica delle zone anteriori, incollate sulla faccia frontale del dente, senza doverne fresare grandi quantità grazie alla natura adesiva della tecnica di cementazione. Anzi, talvolta si possono sovrapporre al dente lasciato quasi completamente integro.

Data la valenza estetica di questo trattamento, spesso eseguiamo più elementi con caratteristiche estetiche differenti, per consentire al paziente di scegliere con cura colore e forma del suo nuovo sorriso.

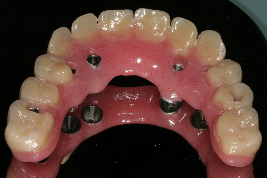
Ponti: rappresentano gli analoghi delle corone ma i ponti coinvolgono più denti e vengono eseguite di routine negli studi odontoiatrici da molti anni; permettono di sostituire più elementi dentari mancanti. Sono protesi molto estetiche, funzionali e confortevoli e dal confermato successo a lungo termine.

UTILIZZIAMO, ORMAI DA ANNI, I MIGLIORI MATERIALI DALLE COMPROVATE CARATTERISTICHE DI RESISTENZA ED ESTETICA, COME LE CERAMICHE A BASE DI OSSIDO DI ZIRCONIO E DISILICATO DI LITIO, CHE CI PERMETTONO DI AVERE DENTI IN CERAMICA PURA TOTALMENTE PRIVI DI METALLO.

 La Protesi dentale mobile.

Le protesi dentali mobili (o rimovibili) sono le soluzioni più economiche per la riabilitazione dei pazienti che hanno perso molti denti; sono protesi molto versatili perchè ci permettono di riabilitare con un unico apparecchio qualunque condizione di perdite dentaria, da pochi elementi (protesi parziali con ganci o altri sistemi di attacco), fino alle protesi totali (la "dentiera" per i casi di perdita totale dei denti). Nonostante questi vantaggi le protesi mobili, per loro stessa natura, non possono in tutti i casi garantire lo stesso livello di comfort che la protesi fissa riesce a dare.

Un importante vantaggio sta nella possibilità di riparazione della protesi dentale in seguito a fratture per cadute o usura; con una telefonata di avviso è possibile riconsegnare la protesi riparata in giornata.

}