Servizi e tecnologie

 Il nostro studio si avvale delle apparecchiature e tecnologie piu' innovative e avanzate che il mercato oggi mette a disposizione.

QUALITA' SIGNIFICA INNOVAZIONE

ABBIAMO GIA' DA TEMPO DECISO DI INVESTIRE NELL'INNOVAZIONE CONSCI CHE IL MIGLIOR SERVIZIO PUO' ESSERE OFFERTO SOLO UTILIZZANDO LE PIU' MODERNE APPARECCHIATURE E I MIGLIORI MATERIALI CHE OGGI LA TECNOLOGIA CI METTE A DISPOSIZIONE. VI PRESENTIAMO ALCUNI DEI NOSTRI SERVIZI....

 

 

image

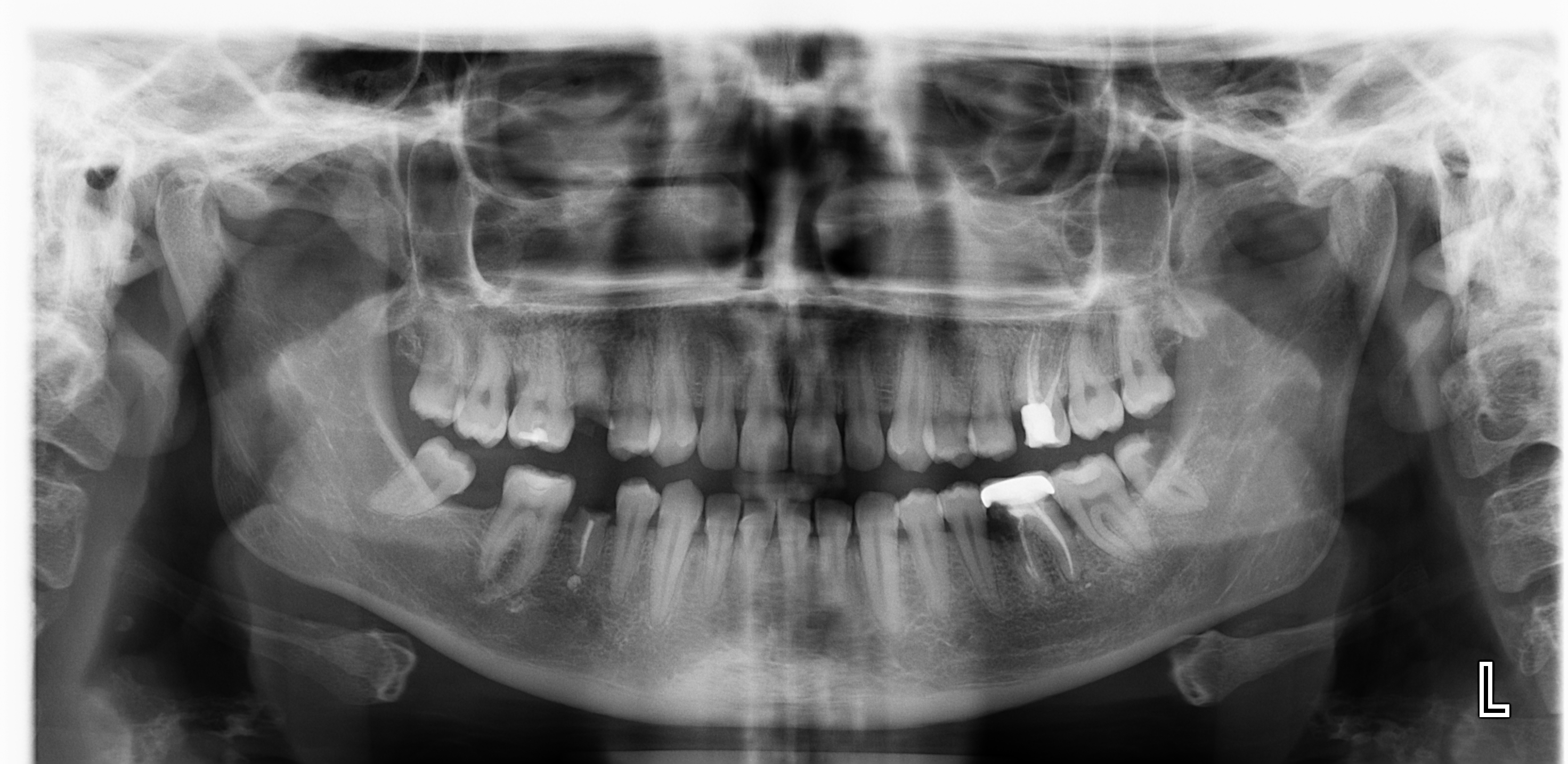
Pochissimi minuti e direttamente alla poltrona abbiamo già la Panoramica, senza richiedere esami all'esterno

 

 

 Tecnologia CONE BEAN: è POSSIBILE ESEGUIRE UNA TAC IN POCHI MINUTI IN STUDIO.Con i nuovi apparecchi possiamo effettuare Tac dell'intera bocca o solo di una sua parte, sia per scopi diagnostici che per programmare terapie complesse come quelle implantari e chirugiche, con un dosaggio molto inferiore rispetto a quello di una TAC tradizionale.

 

 

INLAB: questo nuovo sistema di fresatura della ceramica a controllo computerizzato permette di ottenere corone o ponti senza metallo in tempi molto più ridotti.

 

 

Radiografia del CRANIO IN PROIEZIONE LATERALE: esame radiografico molto spesso richiesto per valutare la crescita negli adolescenti e per pianificare trattamenti ortodontici. In pochi minuti possiamo avere l'mmagine radiografica, sia l'analisi cefalometrica computerizzata.

 

 

 

image

DIGITAL SMILE SYSTEM: progettazione al computer dell'intera riabilitazione estetica del sorriso con possibilità di previsualizzazione del risultato finale. Le finalità sono quelle di avere una migliore comunicazione tra operatore e paziente sulle fasi e sul risultato conclusivo, mostrando come può cambiare il nostro sorriso

}